Slid

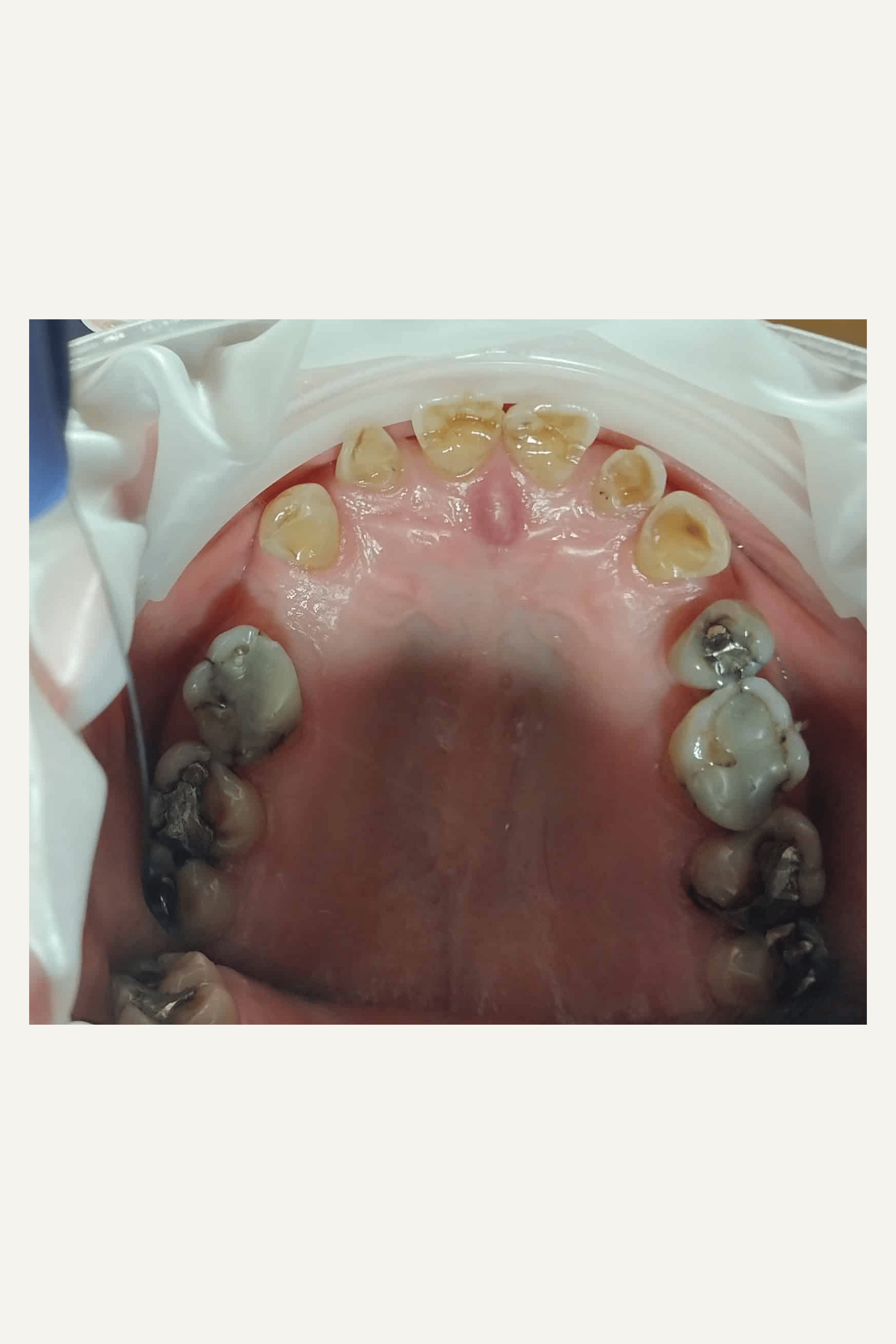
Her ses et eksempel på slid i overkæbe og underkæbe.

Slid kan skyldes forskellige ting. Man kan eksempelvis skære tænder om natten. Dette kaldes bruxisme.
Man kan også miste tandsubstans, hvis man drikker sure drikke, så som sodavand eller lignende. Når man drikker sure drikke fjernes emaljen stille og roligt over tid. Dette kaldes erosion af tænder.

På billedet ses desuden infraktioner (små revner i tænderne) i relation til gamle amalgam fyldninger. Amalgam kan med tiden udvide sig og forårsage revner i tænderne, som i værste tilfælde kan resultere i, at tænderne knækker. Infraktioner er som regel symptomfri, men ikke desto mindre anbefales det at skifte amalgam fyldninger før man får tandpine. Hvis uheldet er ude, så kan en tand der ikke har fået skiftet sin amalgam fyldning i tide knække, så tanden skal rodbehandles eller endnu værre knækker tanden så meget at tanden ikke kan reddes og skal fjernes.

Mange amalgam fyldninger kan uden problemer ligge i tænderne i 15-20 år, men så begynder det at blive aktuelt at skifte fyldningerne. Tandlægen vil anbefale skift af fyldninger, når der begynder at komme en mørk misfarvning omkring amalgam fyldningen eller hvis der er tydelige infraktioner i tanden.

De fleste gamle amalgam fyldninger kan skiftes med en simpel plastfyldning, hvis den skiftes i tide.